Casi Clinici Impianti
IMPLANTOLOGIA OLISTICA ( METAL-FREE)
Impianto in zirconio vs impianto titanio impianto in titanio e corona-dente naturale-impianto zirconio e corona
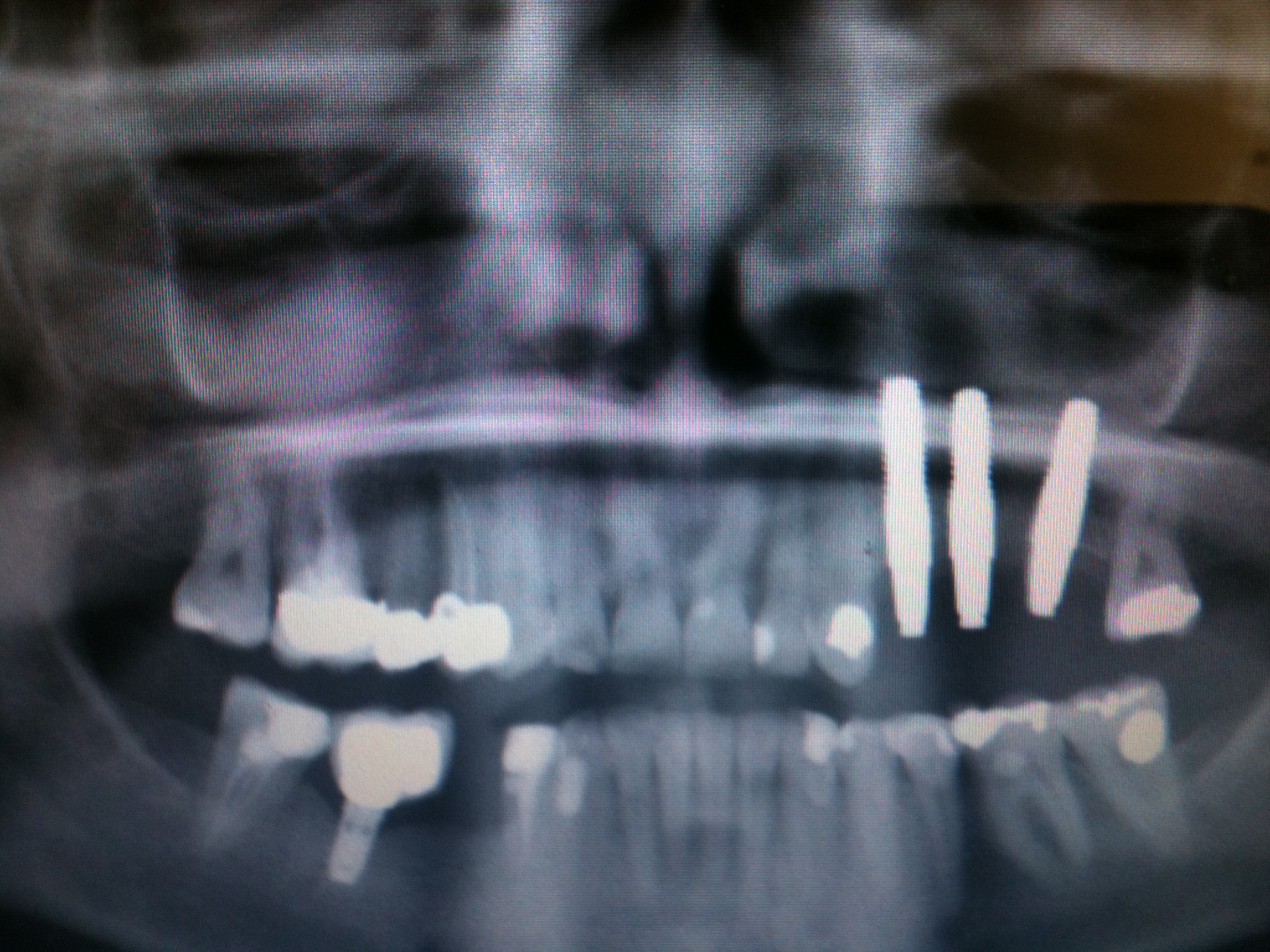
Casi clinici risolti con impianti bianchi in ossido di zirconio whiteSKY/ Sistema Ceralog/ Patent
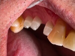
Le esigenze estetiche dei pazienti aumentano con l’accettazione e la diffusione dell’implantologia, che tra l’ampia cerchia di popolazione viene considerata come la migliore soluzione all’edentulia. In questo ambito l’impianto in zirconio whiteSKY permette di offrire, a pazienti esigenti,pazienti con allergie ai metalli e in particolar modo al titanio,soluzione d’elevata qualità e sopratutto estetiche. Nessuna ombra scura precluderà l’aspetto estetico, persino con gengive estremamente sottili. WhiteSKY si propone anche come soluzione per pazienti sensibili ai metalli, poichè lo zirconio non ha proprietà metalliche. Da studi condotti emerge che il deposito di placca è notevolmente inferiore, ripetto a quello sulle superfici in titanio, alle stesse condizioni capacità di osteointegrarsi sovrapponibile all’impianto in titanio. Il pericolo di periimplantiti si riduce notevolmente, grazie alla minima quantità di germi patogeni presenti nel biofilm. I risultati clinici con gli impiant in zirconio confermano le aspettative di un successo a lungo termine, che vengono comprovate dalla ricerca scientifica. WhiteSKY è un impianto monofasico, e pertanto è necessario porre particolare attenzione alla fase di osteointegrazione. Per la sua monofasicità, è assolutamente necessario prestare particolare attenzione alla pianificazione prechirurgica. Subito dopo l’inserimento, l’impianto in zirconio puo’ essere preparato e individualizzato. Dopo aver preso l’impronta, viene posizionata la protesi fissa provvisoria che il paziente porterà x alcuni mesi, il manufatto definitivosarà in zirconio stratificato o pieno a secondo dell’estetica della zona impiantata.
L’impianto Ceralog Hexalobe è invece bifasico,consente l’utilizzo di soluzioni protesiche avvitabili e di conseguenza reversibili,Gli abutment sono in PEEK,è un materiale molto duttile che in condizione di carico si comporta in maniera ottimale.E’ un materiale radiotrasparente.
Caso 1 ( 2011)
Caso 2 ( 2011)
Caso 3 (2011)
CASO 4 (2011)
Caso 5 (2023)

























