Casi Clinici risolti con corone in ossido di zirconio ( stratificato- monolitico)
Le corone in ossido di zirconio rappresentano l’ultima conquista dell’odontoiatria estetica moderna.
La corona in zirconio è anchè chiamata zirconia, corona in ossido di zirconio, capsula in zirconio, denti in zirconio
La corona in zirconio ha i seguenti vantaggi:
L’ossido di zirconio è molto leggero ma estremamente resistente (le corone sono resistenti al 50% in più rispetto a corone in ceramica pressofusa o in disilicato di litio) si associa la durezza dell’acciaio alla biocompatibilità del titanio.
La zirconia ha un colore bianco e superficie particolarmente liscia, queste caratteristiche favoriscono una ottima estetica.
Le corone in zirconio limitano l’adesione della placca batterica,e non causa alcun tipo di allergia.
L’ossido di zirconio non è transparente alla luce, a differenza del ceramica pura, pertanto è adatto a ricoprire i denti che sono diventati grigi o i monconi implantari in titanio conferisce alle protesi dentali un aspetto più luminoso e naturale che comporta una perfetta integrazione col sorriso dei pazienti.
La corona in zirconio possiede anchè una bassa conductibilità termica (perche è senza parti metalliche) che ci permette di mangiare cibi caldi e freddi senza provare sensazioni spiacevoli causate dalla temperatura.
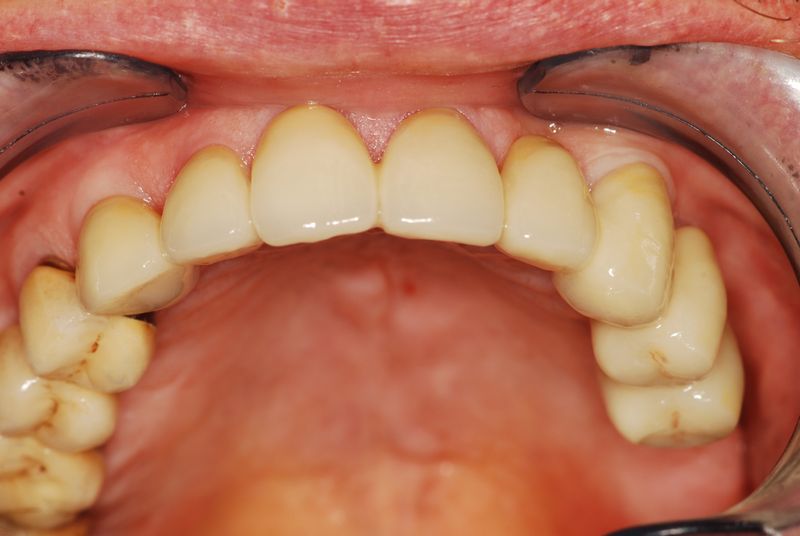
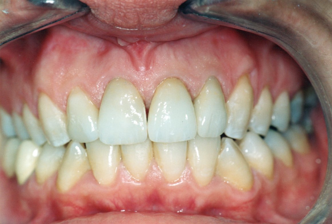
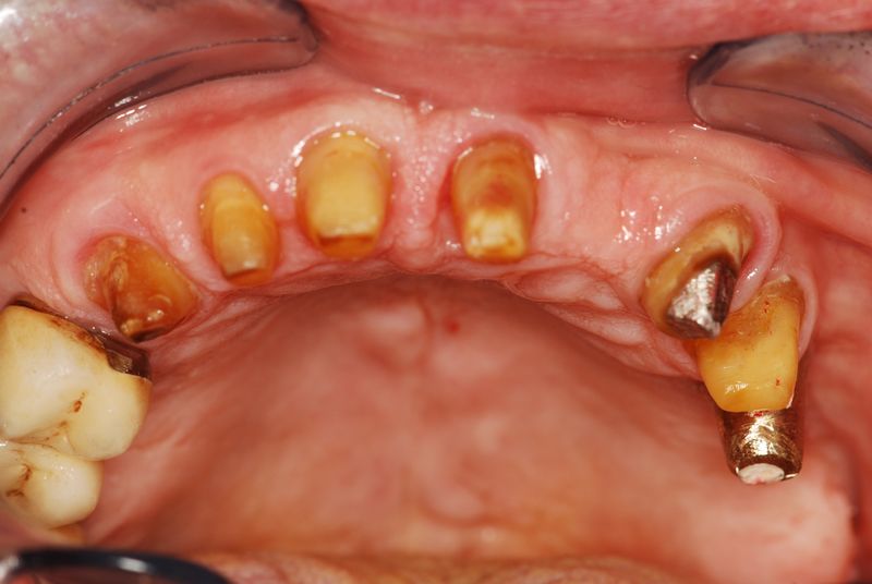
CASO 1
CASO 2
CASO3
CASO 4
caso 5
caso 6
CASO 7














